πŸ–€ Black Friday Sale β€” Now Live πŸ’₯ πŸ”₯ Cosmetic & Invisalign Offers in Leeds & Barnsley 🦷 πŸ’Ž Limited-Time Savings β€” Click to View πŸ’« πŸ–€ Black Friday Sale β€” Now Live πŸ’₯
BLACK FRIDAY EVENT β€’ ENDS 30 NOVEMBER

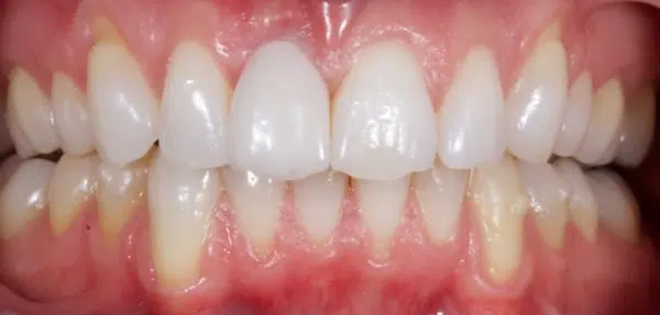
Limited-Time Cosmetic Dentistry Offers

Experience exclusive Black Friday savings at Vitruvian Dental Studio with limited-time pricing on Composite Bonding, Veneers, Invisalign and Professional Whitening β€” available only until 30 November 2025.

Lightning Icon Limited Places Available β€” Don't Miss Out Secure Your Appointment Today

*Appointments must be attended by 30 November 2025 for promotional pricing eligibility.

Some of our recent dental implant crowns and bridge cases

Some of our recent full teeth in a day cases

How much will my Full Arch Package cost?

At Vitruvian Dental Studio, we believe in clear, transparent pricing. Each package is designed for durability, comfort, and aestheticsβ€”with flexible finance options to make treatment more accessible.

Essentials Full Arch

One jaw
From Β£11,995

or Β£249.81/month*

Both jaws
From Β£19,995

or Β£416.42/month*

Enhanced Full Arch

One jaw
From Β£13,995

or Β£291.46/month*

Both jaws
From Β£22,995

or Β£478.90/month*

Ultimate Full Arch

One jaw
From Β£15,995

or Β£333.11/month*

Both jaws
From Β£25,995

or Β£541.37/month*

*Based on finance over 60 months at 9.9% APR.

Flexible, and Transparent, Dental Implant Pricing Costs & Finance Options