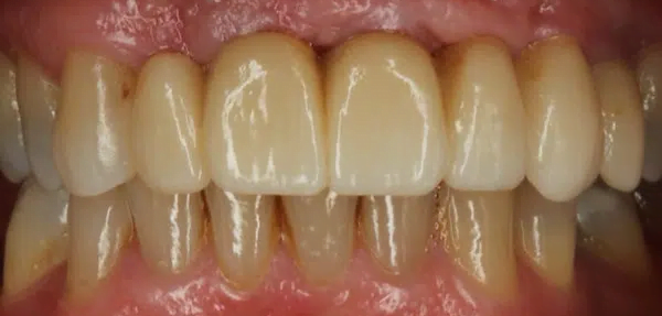
Discover the benefits of dental implants with our Head Nurse Ellie, who answers the most common questions patients have about the process. From sedation options to appointment duration, healing times, and the convenience of our in-house procedures that make the treatment quicker, we cover everything you need to know. Learn how implants provide a like-for-like replacement for missing teeth, offering superior aesthetics, functionality, and long-term durability compared to dentures. If you’re looking for a lasting solution for eating, drinking, and maintaining your smile, dental implants are the best choice. Watch the video to understand why Vitruvian Dental Studio is a trusted name in dental implant care.