Vitruvian Dental Studio
  • Home
  • Smile Transformation
  • Fees & Finance
    • Price List
    • Finance Calculator
    • Our Plans
  • Cosmetic Dentistry
    • Cosmetic Treatments
    • Composite Bonding
    • Missing Teeth
    • Dental Implants
    • Dentures
    • Invisalign
    • Teeth Whitening
    • Specialist Orthodontics
    • Veneers and Crowns
    • Gum Contouring
  • General Dentistry
    • General Treatments
    • Oral Hygiene
    • Missing Teeth
    • Dentures
    • Emergency Dentistry
  • Referrals
    • Refer a friend
    • Dental Referrals
  • Locations
    • Leeds
    • Barnsley
  • Meet The Team
  • Contact Us
Book Free Consultation
Vitruvian Dental Studio Vitruvian Dental Studio
  • About
      • Home
      • Meet The Team
      • Contact Us
    • Locations
      • Leeds
      • Barnsley
  • Smile Transformation
  • Cosmetic Dentistry
    • Teeth Replacement
      • Missing Teeth
      • Dentures
      • Dental Implants
    • Teeth Straightening
      • Invisalign
      • Specialist Orthodontics
    • Composite Bonding
    • Veneers and Crowns
    • Teeth Whitening
    • Gum Contouring
  • General Dentistry
    • General Treatments
    • Oral Hygiene
    • Missing Teeth
    • Dentures
    • Emergency Dentistry
  • Fees & Finance
    • Price List
    • Finance Calculator
    • Our Plans
  • Referrals
    • Refer a friend
    • Dental Referrals
Book Now

Educational,News

Can You Repair Ground Down Teeth? What You Need to Know

Posted on 23 June 2025 by Peter James Bennett
Posted on 23 June 2025 by Peter James Bennett

Can You Repair Ground Down Teeth?

Yes — ground down teeth can absolutely be repaired. Whether caused by teeth grinding (bruxism), acid erosion, or ageing, modern dentistry offers advanced techniques to restore worn teeth both cosmetically and functionally.

In this guide, we’ll explain:

  • What causes teeth to wear down
  • Signs you may need treatment
  • The best ways to repair ground down teeth
  • Costs, timelines, and how to prevent further damage

What Causes Teeth to Grind Down?

  • Bruxism (Teeth Grinding): Often occurs at night or during stress
  • Acid Erosion: From acidic foods/drinks or acid reflux
  • Tooth Wear from Age or Use: Over time, enamel naturally wears
  • Misaligned Bite: Can cause uneven pressure on certain teeth

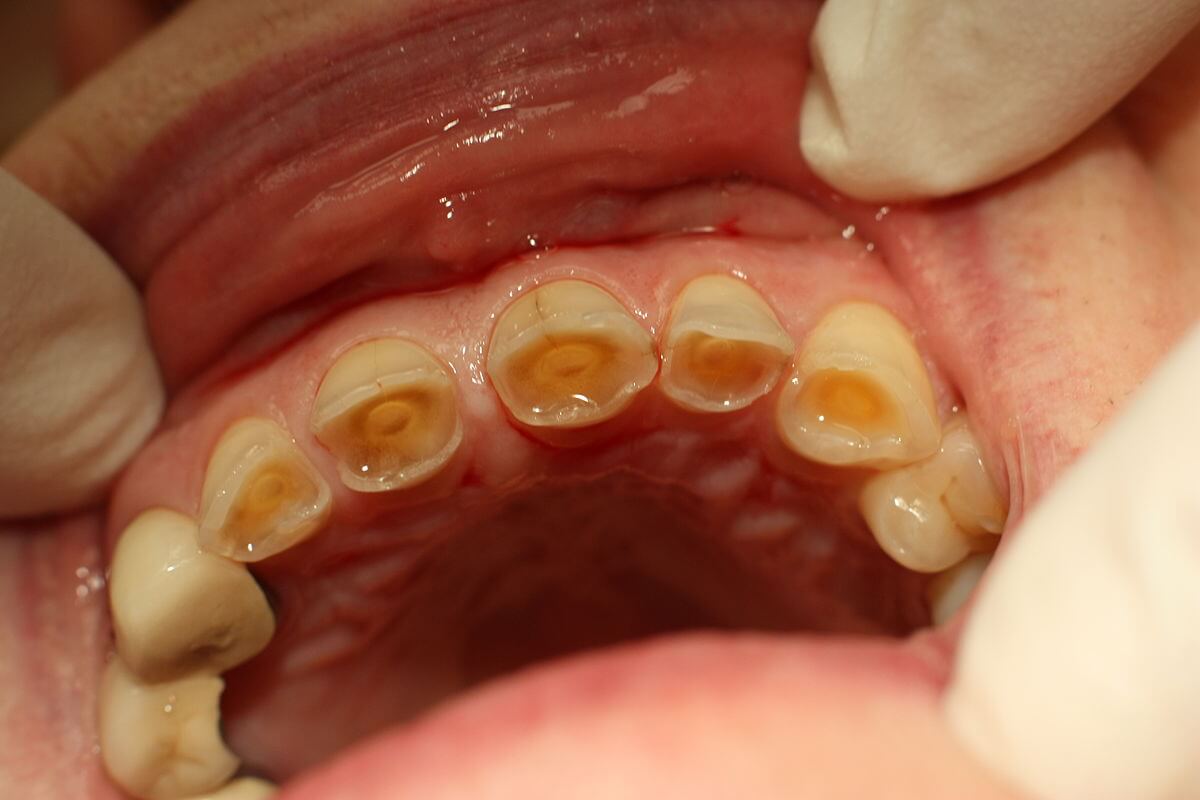
Symptoms of Worn Down Teeth

  • Short or flat-looking teeth
  • Increased sensitivity to hot/cold foods
  • Chips or cracks, especially on the front teeth
  • Jaw pain or headaches (linked to clenching)
  • Changes in your bite or smile appearance

How Can Dentists Repair Ground Down Teeth?

1. Dental Bonding

Best for: Minor wear and chips
Benefits: Quick, affordable, minimally invasive
Lifespan: 5–7 years

2. Porcelain Veneers

Best for: Front teeth worn due to grinding or erosion
Benefits: Natural look, long-lasting, stain resistant
Lifespan: 10–15 years

3. Dental Crowns

Best for: Severely worn or cracked teeth
Benefits: Strong, restores function and aesthetics
Lifespan: 10–20 years

4. Occlusal Splints (Night Guards)

Not a repair, but essential: Custom mouthguards prevent further wear from grinding at night.

Can Tooth Enamel Grow Back?

No, tooth enamel cannot regenerate. But with dental treatment, the structure and appearance of worn teeth can be effectively restored.

How to Prevent Teeth Grinding and Wear

  • Wear a night guard
  • Limit acidic drinks and foods
  • Manage stress with relaxation techniques
  • Visit your dentist regularly

Don’t Ignore Ground Down Teeth

If your teeth are getting shorter or more sensitive, early treatment is vital. Left untreated, it can lead to cracked teeth, nerve pain, or tooth loss.

Modern dentistry can restore your smile comfortably and beautifully.

Posted in Educational, News

Pages

  • Our Plans
  • Smile Transformation
  • Contact Us

Links

  • Privacy Policy
  • Relevent Policies
  • GDC Website

Contact

[email protected]

Finance

Snap Finance

Snap Finance

We are an Introducer Appointed Representative registered with the FCA: 982931

Manage Consent
To provide the best experiences, we use technologies like cookies to store and/or access device information. Consenting to these technologies will allow us to process data such as browsing behaviour or unique IDs on this site. Not consenting or withdrawing consent, may adversely affect certain features and functions.
Functional Always active
The technical storage or access is strictly necessary for the legitimate purpose of enabling the use of a specific service explicitly requested by the subscriber or user, or for the sole purpose of carrying out the transmission of a communication over an electronic communications network.
Preferences
The technical storage or access is necessary for the legitimate purpose of storing preferences that are not requested by the subscriber or user.
Statistics
The technical storage or access that is used exclusively for statistical purposes. The technical storage or access that is used exclusively for anonymous statistical purposes. Without a subpoena, voluntary compliance on the part of your Internet Service Provider, or additional records from a third party, information stored or retrieved for this purpose alone cannot usually be used to identify you.
Marketing
The technical storage or access is required to create user profiles to send advertising, or to track the user on a website or across several websites for similar marketing purposes.
Manage options Manage services Manage {vendor_count} vendors Read more about these purposes
View preferences
{title} {title} {title}
Please complete the required fields to proceed to our online booking portal.
Hidden
This field is for validation purposes and should be left unchanged.
Smile Fit-Check AI Simulator

Your Smile, Reimagined in Seconds

Upload a photo and preview your future smile with our state-of-the-art Smile Fit-Check AI tool.

Launch Smile Fit-Check → No thanks